ZOBNI

RENTGEN

RIBNICA

ZOBNI RENTGEN RIBNICA

Naj se na kratko predstavimo

Pri zobni rentgen Ribnica se združuje mlad in inovativen kolektiv s številnimi leti izkušenj na področju zobozdravstvene diagnostike. Naša ekipa, diplomanti zdravstvene fakultete v Ljubljani, je zavezana strokovnosti, hitrosti ter zanesljivosti v opravljanju visokokakovostnih radioloških zdravstvenih storitev.

Naše delo poteka v sodobnem prostoru, kjer se prepletata tradicija in inovacija. Smo prepoznavni po tem, da nudimo vrhunske radiološke storitve za vsa področja zobozdravstvene diagnostike. Pri tem poudarjamo izjemno pomembnost spretnega, natančnega ter pravilnega rokovanja z različnimi radiografskimi tehnikami, hkrati pa se posvečamo pravilni interpretaciji pridobljenih podatkov.

PREVERITE

Naše storitve

Ortopan

Ortopantomogram oz. panoramski posnetek je najpogostejše ekstraoralno slikanje zob in kosti spodnjega dela obraza v dentalni medicini.

Telerentgen

Stranski telerentgenogram ali cepfalostat glave je del morfološke diagnostike v čeljustni in zobni ortopediji.

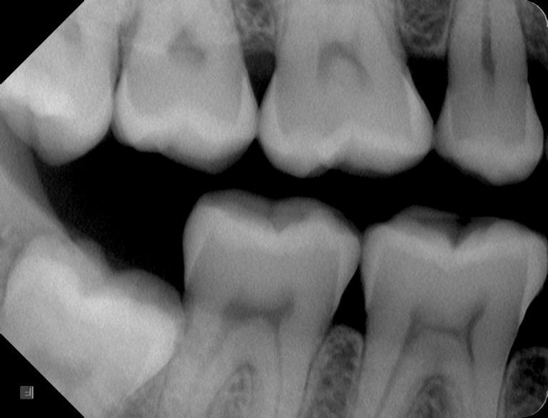
Lokalni posnetek

Intraoralne tehnike posnetkov razdelimo na tehniko zagriza ali ang. bitewing in periapikalno tehniko.

Bitewing slikanje zobnih kron

Bitewing slikanje zob je tehnika, ki se uporablja za prikaz zobnih kron.

Kvalitete

Zakaj izbrati nas?

Naš cilj je zagotoviti pacientom vrhunsko izkušnjo, kjer se združuje vrhunska tehnologija, strokovnost ekipe ter skrb za celostno zdravje. Sodelujte z nami in zaupajte v vrhunsko kakovost na področju radiološke diagnostike zob in ustne votline.

Mlad in inovativen kolektiv
Strokovnost in zanesljivost
Vrhunska storitev
Sodobni prostor - dobro počutje

Odpiralni čas

Pred obiskom je obvezna rezervacija termina po telefonu/elektronski pošti ali na spletni strani.

  • Pondeljek
    Po dogovoru.
  • Torek
    Po dogovoru.
  • Sreda
    Po dogovoru.
  • Četrtek
    Po dogovoru.
  • Petek
    Po dogovoru.
  • Sobota
    Po dogovoru.
  • Nedelja
    Zaprto

KAJ O NAM PRAVIJO STRANKE

Mnenja strank

Povpraševanje

Rezervirajte svoj termin zdaj!

Pred obiskom je obvezna rezervacija termina po telefonu/elektronski pošti ali na spletni strani.